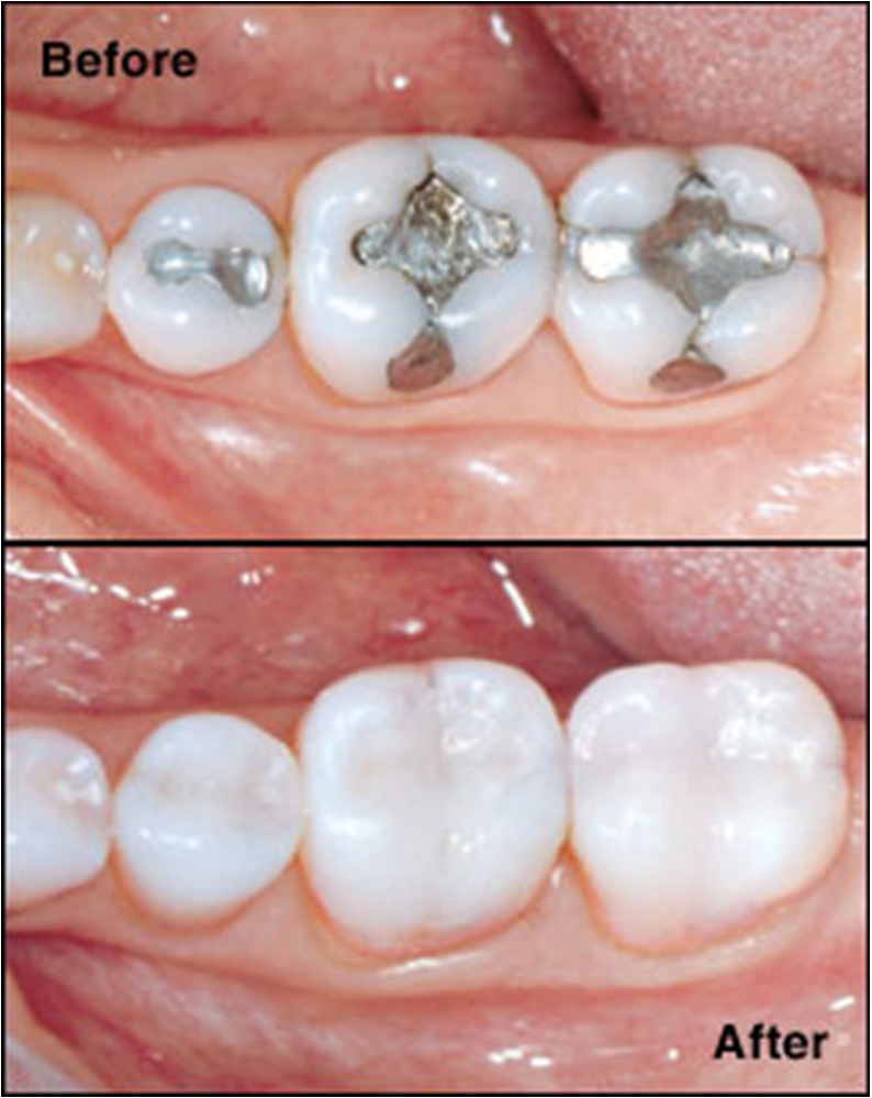
Bonded White Fillings in Tampa, FL

Dental fillings in Tampa, FL are among the most common general dentistry procedures. They restore a damaged tooth's function, prevent further decay, and promote overall oral health. These dental restorations are used to repair teeth affected by decay, cavities, or minor fractures. They are placed after the decayed part of the tooth is removed and used to fill the cavity and protect the tooth from further damage, restoring its structure and functionality. Although various types of fillings are available, patients prefer white fillings as they are a discreet and durable option.

At General and Cosmetic Dentistry of Tampa, the dental filling procedure is routine and can be performed in a single visit, offering durable and aesthetically pleasing results. By opting for white fillings, patients can restore their smiles, prevent oral health issues, and maintain optimal oral function for years.

General and Cosmetic Dentistry of Tampa - Randall Diez and Michael Diez

Types of White Dental Fillings in Tampa, FL

Composite Fillings

Composite fillings are tooth-colored and made from a resin material mixed with glass or ceramic particles. They offer excellent aesthetics, as they can match the natural tooth color. They are bonded directly to the tooth structure, providing support, and are versatile enough for both front and back teeth.

Glass Ionomer Fillings

Glass ionomer fillings are also tooth-colored but they are made from a mixture of glass powders and acrylic acid. They release fluoride, preventing further decay, and are often used for temporary fillings.

The Dental Filling Procedure in Tampa, FL

The dentist will administer a local anesthetic to numb the area around the tooth to ensure a pain-free procedure. The decayed or damaged portion of the tooth is removed using a dental drill, laser, or air abrasion. The tooth is cleaned, shaped, and prepared to create space for the filling material.

The chosen filling material is applied in layers and carefully shaped to match the natural contours of the tooth. The filling is then hardened using a curing light. The Dentist in Tampa, FL will check your bite and make necessary adjustments to ensure proper alignment. Finally, the filling is polished to ensure a smooth finish. Call us to learn more.

General and Cosmetic Dentistry of Tampa - Randall Diez and Michael Diez
General and Cosmetic Dentistry of Tampa - Randall Diez and Michael Diez

The Benefits of Bonded White Fillings

  • Dental fillings restore the normal function of teeth, allowing for proper biting and chewing.
  • Dental fillings prevent the further spread of decay and subsequent complications by filling cavities.
  • Tooth-colored fillings provide a more aesthetic result, blending in seamlessly with the surrounding teeth.
  • Dental fillings help preserve natural tooth structure, reducing the need for more extensive treatments like extractions or crowns.
  • Dental fillings can last many years with proper care and maintenance, providing long-term restoration and protection.

White fillings are an aesthetically pleasing option for restoring teeth affected by decay or minor fractures. For the best dental care, visit General and Cosmetic Dentistry of Tampa at 5010 Gunn Hwy, Tampa 33624, or call (813) 960-5869.

Locations

5010 Gunn Hwy, Tampa, FL 33624

Phone: (813) 960-5869

Email: diezimages@gmail.com

  • MON - TUE8:30 am - 5:00 pm
  • WED8:30 am - 3:00 pm
  • THU8:30 am - 5:00 pm
  • FRI8:30 am - 1:00 pm
  • SAT - SUNClosed
Contact Us

3112 West Kennedy Blvd Suite A, South Tampa, Fl 33609

Phone: (813) 874-5869

Email: chris.southtampadental@gmail.com

Fax: 8138745821

  • MON - TUE8:30 am - 5:00 pm
  • WED8:30 am - 3:00 pm
  • THU8:30 am - 4:00 pm
  • FRI - SUNClosed
Contact Us