Before and After Gallery
Smile Gallery
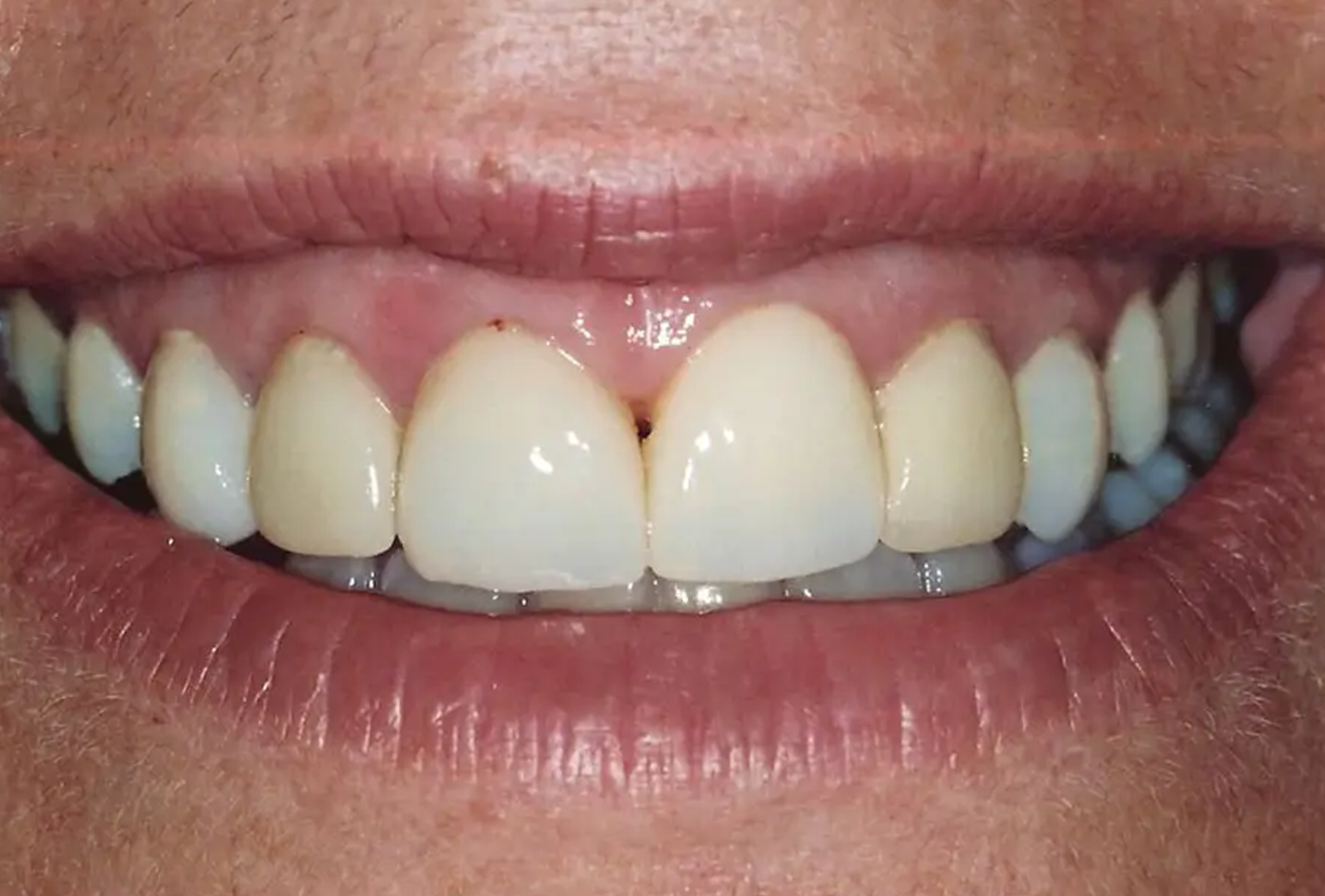
Before
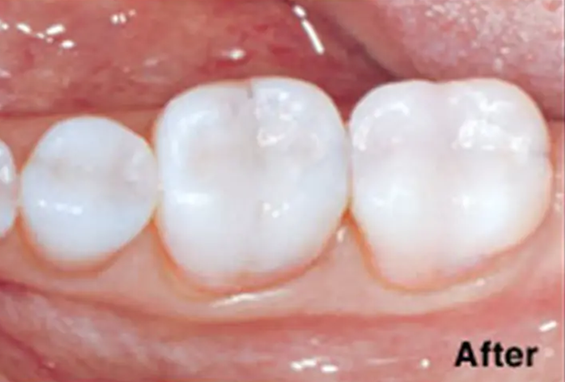
After
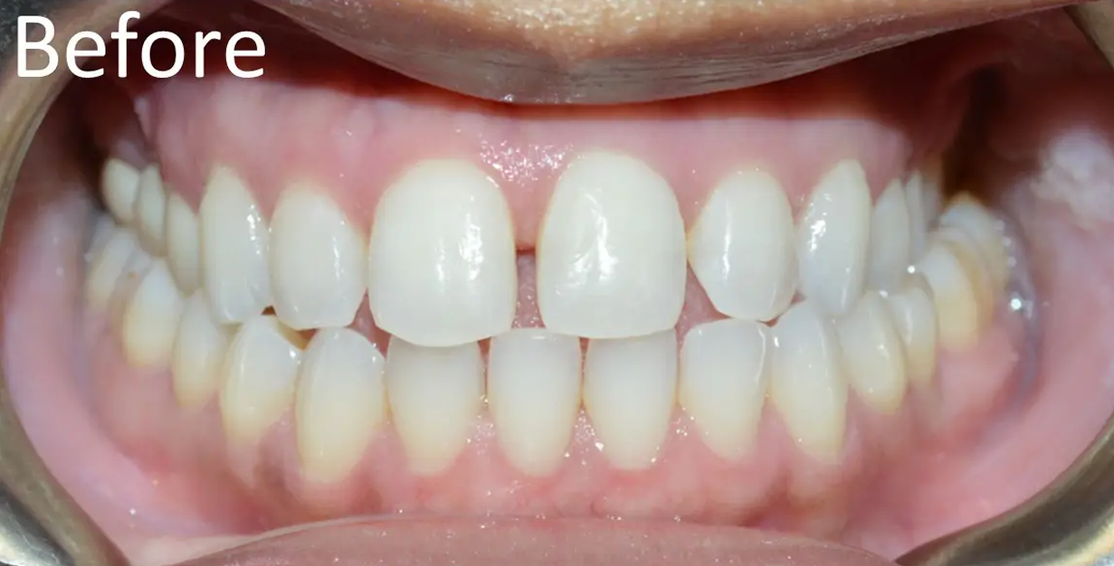
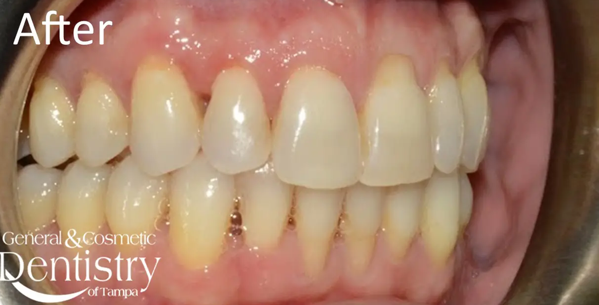
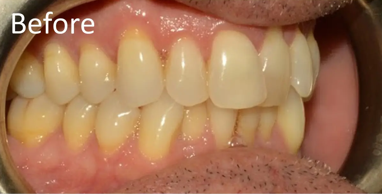
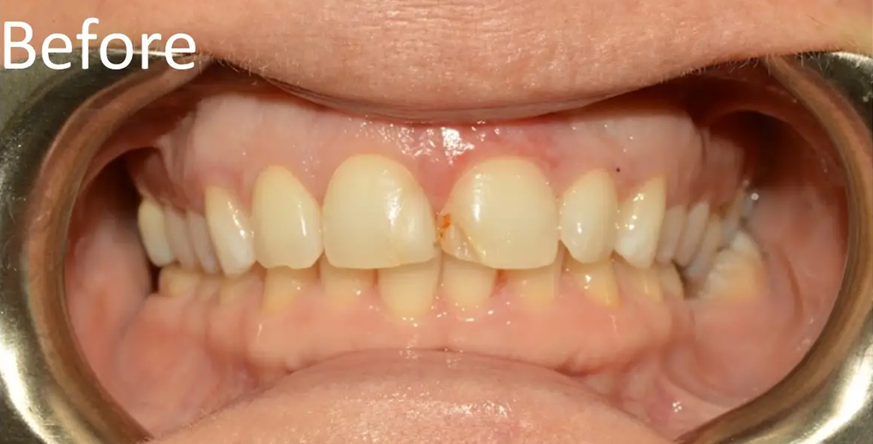
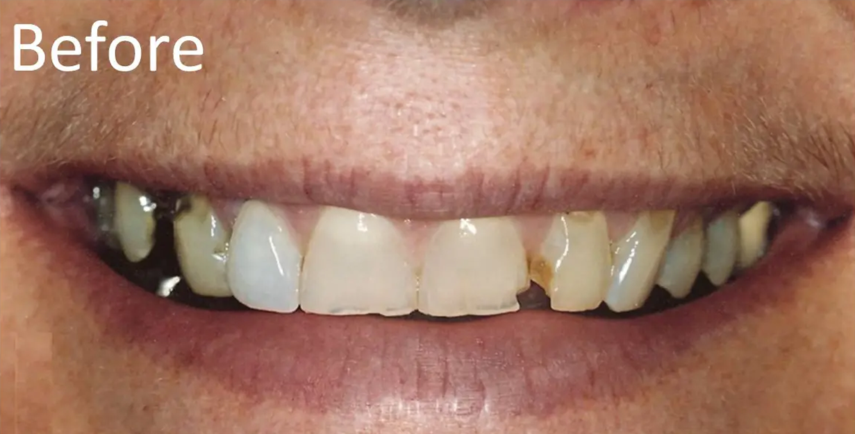
Full Mouth Smile Makeover
Before
After
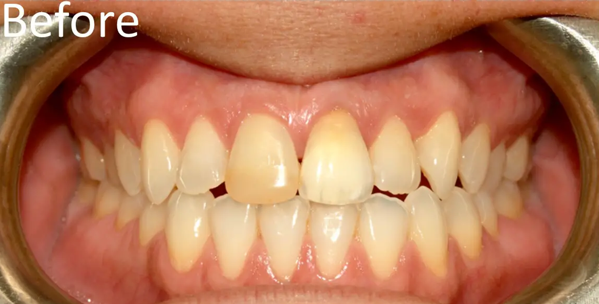
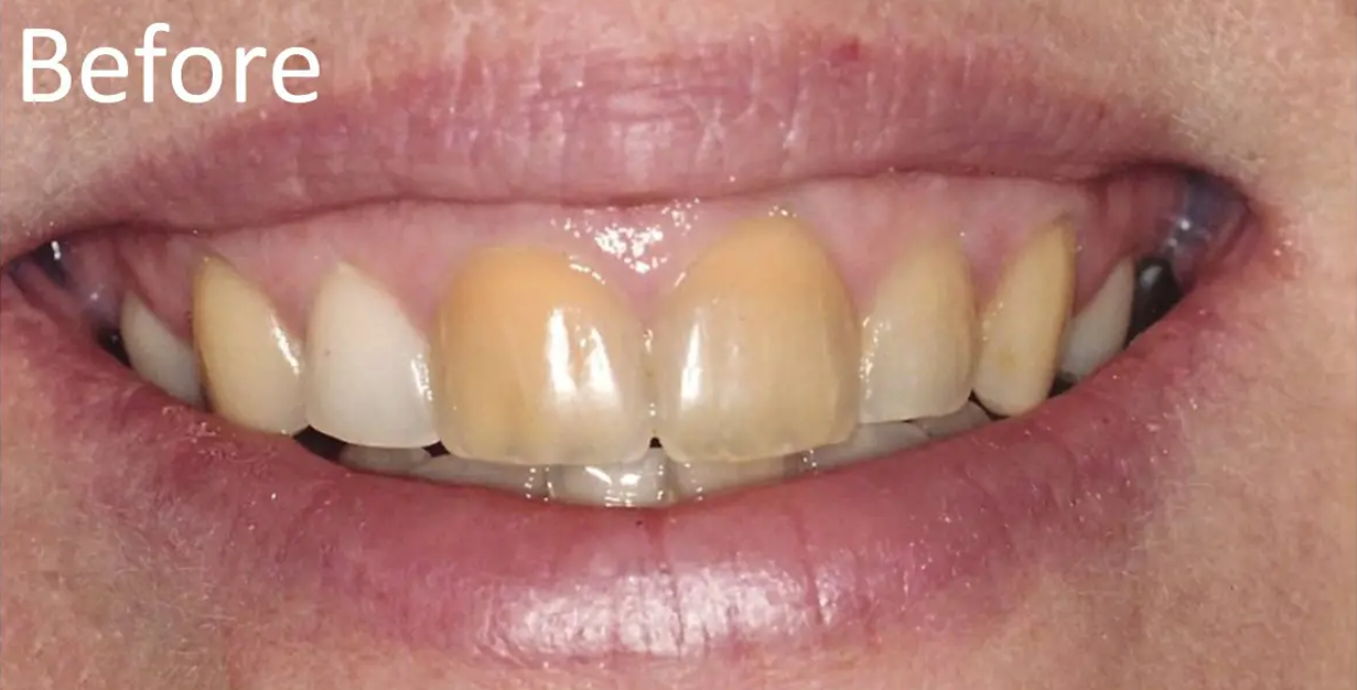
Veneers to correct Shape & Color
Before
After
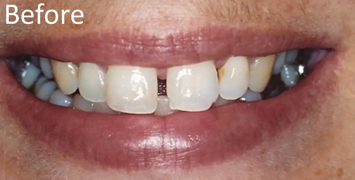
6 Veneers & Whitening
Before
After
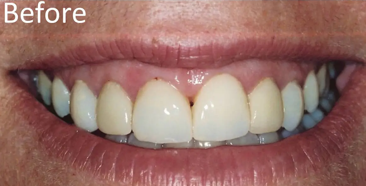
6 Veneers
Before
After
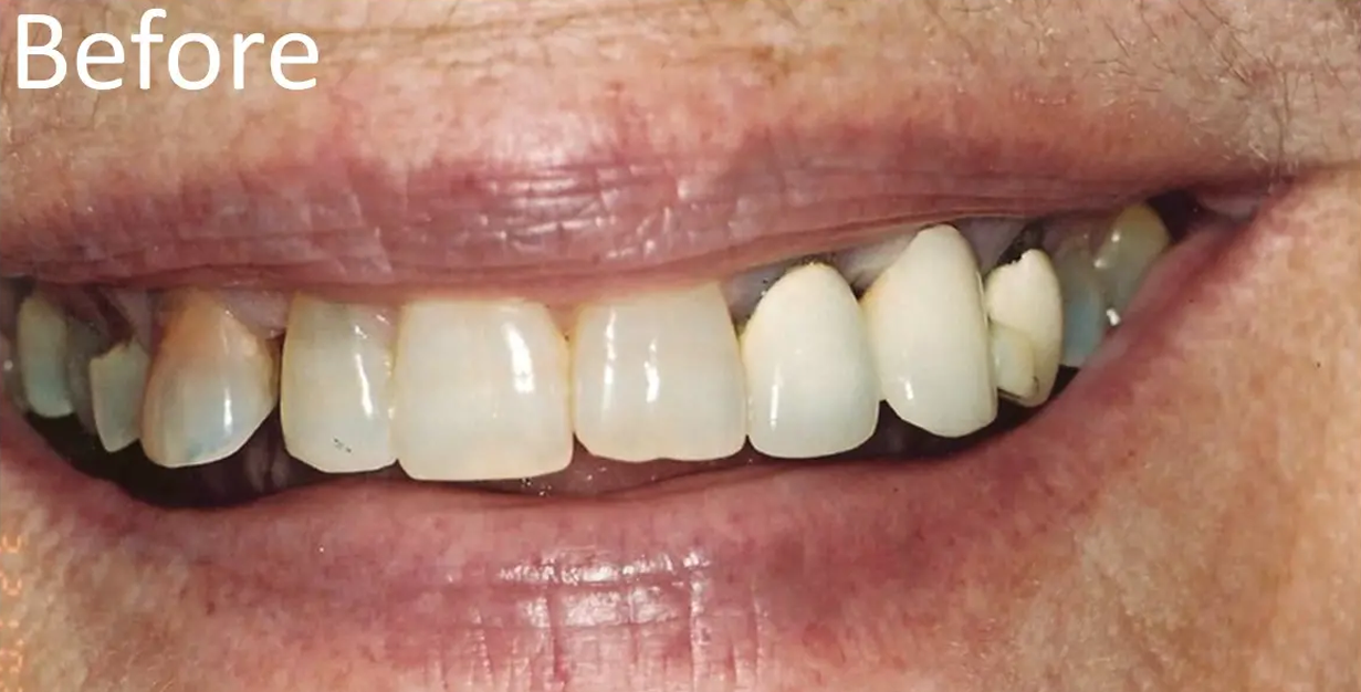
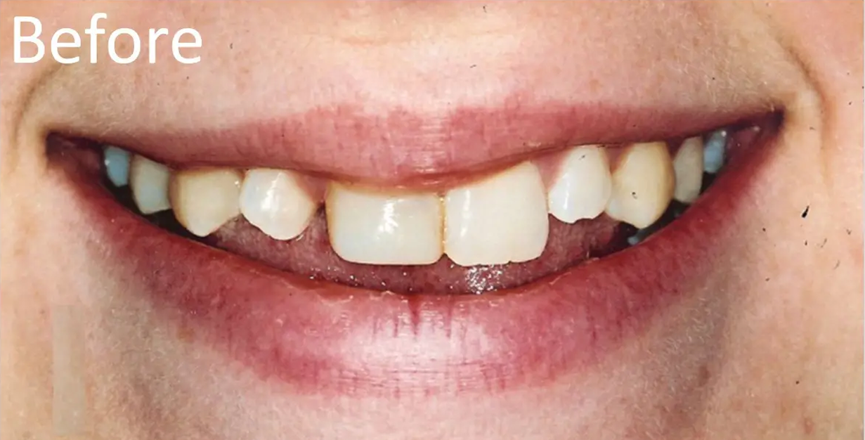
Combo of 8 Crowns and Veneers
Before
After
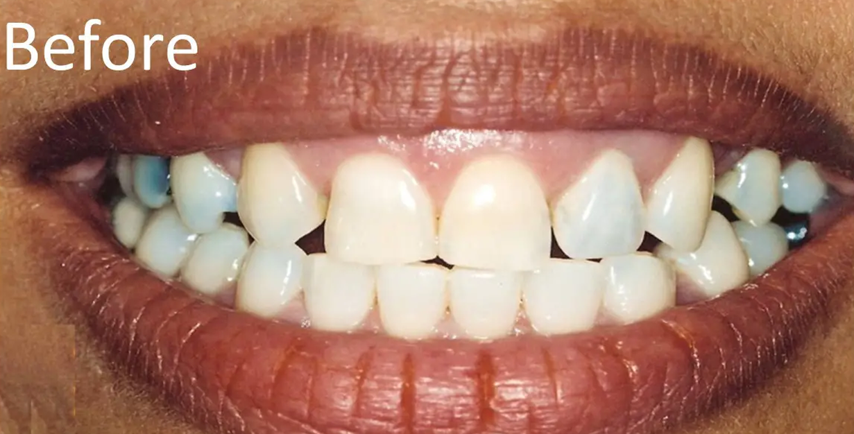
Invisalign & Teeth Whitening
Before
After
Bonded the 2 front teeth after a fall
Before
After
Smile Makeover
Before
After
Smile Makeover
Before
After
Smile Makeover for Shape & Bite
Before
After
Smile Makeover to correct bite & shape
Before
After
Smile Makeover
Before
After
Smile Makeover
Before
After
6 Veneers
Before
After
6 Veneers to correct Shape & Color
Before
After
8 Veneers to correct Shape & Color
Before
After
8 Veneers
Before
After
Before
After
Before
After
Before
After
Bonding of Broken Teeth
Anterior Crowns & Whitening
Crowns and Whitening
Remake 6 Unit Bridge and Whitening
Single Crown to close gap
Locations
- MON - TUE8:30 am - 5:00 pm
- WED8:30 am - 3:00 pm
- THU8:30 am - 5:00 pm
- FRI8:30 am - 1:00 pm
- SAT - SUNClosed
3112 West Kennedy Blvd Suite A, South Tampa, Fl 33609
Phone: (813) 874-5869
Email: chris.southtampadental@gmail.com
Fax: 8138745821
- MON - TUE8:30 am - 5:00 pm
- WED8:30 am - 3:00 pm
- THU8:30 am - 4:00 pm
- FRI - SUNClosed









































